top of page


청소년기 중학생 어금니가 붓고 아프다면 : 치은판절제술 치은절제술 operculectomy gingivectomy
어금니가 붓고 아프다며 찾아오시는 중학생이 어머니와 함께 오시는 경우가 많습니다 연령대, 통증 부위만 들어봐도 십중팔구는 맹출중인 제2대구치를 덮고있는 잇몸염증이 원인인 경우가 많습니다. 제2대구치 맹출시기 는 초등학교 고학년에서...
2024년 8월 29일


뿌리만남은치아 치관연장술 재신경치료 및 주조포스트 Crown lengthening, Re-endo Tx. & cast post crown
여러 치과에서 발치를 해야한다고 듣고 치아를 살려서 쓰는것을 포기하고 오신 경우입니다. 치관 파절로 뿌리만 남아있고, 설상가상으로 이전에 진행된 근관치료는 마무리 되지 못하여 뿌리끝에서 심한 염증이 발생했습니다. 이 상황을 해결하기...
2024년 8월 21일


치은퇴축 치근피개술 결과 예측 및 실제 Diagnosis & result of root coverage
이 글은 치근피개술의 예후와 결과 설명을 돕기 위해서 작성하였습니다. 치과의사, 치과대학생, 기타 치과 종사자 분들이 읽어보셔도 좋은 글입니다. 교정 후 잇몸내려감 & 치은퇴축으로 문의하시는 분들이 많은데요, 치근피개술은 모든 경우에 있어서...
2024년 8월 21일


상악 전체 임플란트 수복 (발치 즉시 임플란트) (Mx. full mouth rehabilitation with immediate implant placement)
틀니를 오랫동안 사용하시면서, 임플란트 진행을 고민하시다 저희치과에서 임플란트 수복을 진행하기로 결정하셨습니다. 남아있는 상악 치아의 예후를 고려하여 상악 치아들을 발치하고, 발치 즉시 임플란트 통한 상악 전체 임플란트 계획했습니다. 전체...
2024년 8월 14일


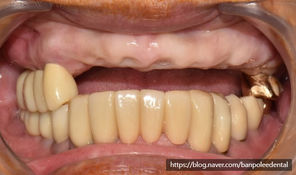
부분 무치악 부위에서 다수 임플란트를 통한 회복과 심미보철 Multiple implant palcement & esthetic restoration in partial edentulous area
오랜 치료 기간을 거쳐 마무리하신 분이 계셔서, 정리하였습니다. 임시틀니를 사용하시면서 임플란트 생각이 있으셨지만, 오랫동안 고민해오시다 저희치과에서 진행하기로 결심하신 분입니다. 넓은 범위의 상악 부분무치악 환자입니다. 좌우 어금니...
2024년 8월 7일
bottom of page